By adapting techniques originally used to study ancient DNA from archaeological specimens, researchers at the University of Chicago were able to recover genetic information from nearly century-old medical samples.
The work was presented at the Association for Molecular Pathology (AMP) 2025 Annual Meeting & Expo, taking place Nov. 11–15 in Boston.
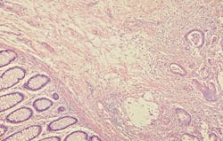
To test their technique, the researchers used samples of tissue from colorectal cancer specimens collected between 1932 and 2023. The researchers chose to focus on colorectal cancer because it has become significantly more common among young adults over the past several decades without a clear explanation. Today, a 35-year-old is twice as likely to develop colorectal cancer compared to a 35-year-old in 1985.
The researchers isolated tumor tissue from formalin-fixed paraffin-embedded specimens for DNA extraction. The researchers optimized the removal of paraffin wax and chemical preservatives to maximize the amount of usable DNA. Next, the researchers used tailored approaches to put the DNA fragments into a readable format for sequencing. They created a custom pipeline using digital tools typically reserved for ancient DNA analysis so they could match samples with missing or damaged DNA to the human genome.
After checking the quality of the DNA, the researchers sequenced the genome using whole genome sequencing and a targeted gene-enrichment panel (OncoPlus) to find genetic mutations that drive tumor growth. In both cases, they modified the protocols to retain tiny fragments of DNA that is traditionally discarded. Finally, they analyzed the non-human DNA found in the tissue samples to identify bacteria that may have been in the tumor.
Dr. Alexander Guzzetta, M.D., Ph.D., who oversaw the project alongside ancient DNA researcher Maanasa Raghavan, Ph.D., noted, “When we analyzed bacterial DNA from colon cancer tissues, we not only detected normal gut microbes but also bacterial species which are specifically associated with colon cancer.” The team is now working on refining their analysis methods to better understand these bacteria and understand how their presence may have shifted over time.
Although Guzzetta’s team is currently focused on colorectal cancer he hopes that other researchers use this work to study other disease changes over time. “There is massive potential here for other groups to use these approaches to unravel the root causes underlying the shifting landscape of modern diseases,” Guzzetta said. “This approach could unlock the ability to study how diseases evolve over decades and shed light on how their biology has changed through time.”

